Youthful skin with Polynucleotides injections:
Polynucleotides are biostimulatory substances derived from purified DNA fragments. They act as messengers within the skin, stimulating the production of collagen and elastin – the building blocks that provide structure and elasticity. As we age, collagen and elastin production naturally decline, leading to wrinkles, fine lines, and loose skin.

What are Polynucleotides?
How do I choose a qualified provider for polynucleotide treatment?
Eyes
Improve skin hydration & circulation, which can lighten dark circles.
Cheeks
Result in plumper, more resilient skin + reduction in sagging.
Forehead
Softening the appearance of wrinkles & improving skin texture.
Neck and Decolletage
Improves skin laxity, crepey skin , fine lines and wrinkles.
Hands
Improves hydration and skin quality.
Polynucleotides At A Glance
Discover the key details about your treatment — from results to recovery.
Treatment Time
15–20 minutes
Back To Work
Can vary with every patient
Results Time
Long term results
Results see in
1 Month
Comfort
Comfortable
Side Effects
Bruising, temporary swelling
What it does...
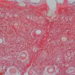
In vivo study: Histological evaluation of tissue repair. Detections using Sirius red dye and polarised light
Short Term: Hydrating and volume-enhancing action similar to HA Reorganize into a hydrophilic three-dimensional gel that binds large amounts of water with an immediate volumising effect.
Long Term: It will promote fibroblast migration and growth, Enhance protein production, enhance extracellular matrix synthesis, reduce inflammation and promote angiogenesis.
Polynucleotides Benefits
Stimulates
Fibroblasts to Reduce Fine Lines & Wrinkles.
Remodels
Skin to Smooth Texture & Reduce Scars.
Repairs
Skin Cells to Calm Inflammation such as Rosacea.
Promotes
Bio-Regeneration to Increase Collagen.
Improves
Your Overall Skin Elasticity to Tighten Loose Skin.
DNA Fractions
to Regenerate Skin Quality & Hydrates the Skin.
The Results






Testimonials powered By DNA
Hear from our satisfied clients from across the world and discover the life-changing impact of our treatments.
Your Questions
Answered By Your Doctor
Recovery time is minimal, with most patients experiencing only mild redness and swelling that subside within a few days. Normal activities can usually be resumed immediately after the procedure, though it's advisable to follow any specific aftercare instructions provided by your healthcare provider.
The number of treatments needed varies based on individual goals and skin conditions. Typically, a series of 3-4 treatments spaced a few weeks apart is recommended for optimal results. Maintenance sessions may be needed to sustain the effects.
Yes, polynucleotide treatments can be combined with other cosmetic procedures, such as hyaluronic acid dermal fillers, wrinkle relaxers to enhance overall results. It's important to consult with your healthcare provider to develop a customized treatment plan.
Results can vary, but many patients start to see improvements within a few days to a few weeks after the treatment. The full effects are typically visible after a series of treatments, spaced a few weeks apart.
The delicate under-eye area is particularly prone to wrinkles, puffiness, and dark circles. Polynucleotide injections can be a valuable tool for addressing these concerns. By stimulating collagen production and improving hydration, polynucleotides can help smooth out fine lines, reduce puffiness, and create a brighter, more youthful appearance under the eyes.
Profhilo uses an innovative hyaluronic acid compound to boost collagen and elastin, deliver deep hydration, and restore your skin's radiance. Profhilo acts as a high-powered injectable moisturizer that works beneath the skin. It flows through the subcutaneous tissue and dermis to stimulate new collagen and elastin fibers, hydrating the skin from the inside out to smooth lines and brighten texture. Polynucleotides It might sound fishy, but this DNA structure, derived from salmon sperm, significantly enhances tissue regeneration. It boosts elastin and collagen production, decreases inflammation, improves tissue quality and density, and reduces pigmentation. The treatment is an injectable; we use a tiny needle to administer it just under the skin at specific points on the face and body. Polynucleotides vs Profhilo - Choosing between both When choosing between Profhilo and Polynucleotides, you will need to consider the following to help make your decision: Profhilo is excellent for deep hydration and overall skin rejuvenation, making it ideal for those looking to improve skin texture, smooth fine lines, and achieve a radiant glow. Polynucleotides, on the other hand, focus more on tissue regeneration, improving skin density, and reducing inflammation and pigmentation. Ultimately, the best choice depends on your specific skin needs and treatment goals. Consulting with your Sisu Doctor can provide personalised advice to help you make an informed decision. Book in for your free consultation today.
Once injected into the targeted areas, polynucleotides trigger a cascade of cellular activity. They stimulate fibroblasts, the skin cells responsible for collagen and elastin production. Additionally, polynucleotides possess antioxidant properties, helping to combat free radical damage and improve overall skin health.
Polynucleotide treatments are generally considered safe when administered by a qualified healthcare professional. Common side effects include mild redness and swelling at the injection site, which usually resolve within a few days.
Polynucleotides Prices
for best results we recommend 3-4 treatments
Polynucleotides (1 Treatment)
£250
Polynucleotides (2 Treatments)
£475
Polynucleotides (3 Treatments)
£700
Polynucleotides (4 Treatments)
£925









